Khóa Học Online - Ôn Thi Nội Trú
Liên hệ
Khóa học
Tìm kiếm
Đăng ký khóa học
0355.295.625(Zalo)
0
Giỏ khóa học
0 đ
Xem giỏ
Thanh toán
DANH MỤC SẢN PHẨM
HỌC ONLINE CÙNG BÁC SĨ THÔNG NHỮNG MÔN HỌC NÀO
BÀI HỌC THỬ ONLINE ÔN THI NỘI TRÚ MIỄN PHÍ
Trang chủ
Giới thiệu
Tài liệu
Tin tức
Liên hệ
Đăng nhập
DANH MỤC SẢN PHẨM
HỌC ONLINE CÙNG BÁC SĨ THÔNG NHỮNG MÔN HỌC NÀO
BÀI HỌC THỬ ONLINE ÔN THI NỘI TRÚ MIỄN PHÍ
Trang chủ
Giới thiệu
Tài liệu
Tin tức
Liên hệ
0
Giỏ khóa học
0 đ
Xem giỏ
Thanh toán
Trang chủ
Tin tức
Tin tức
Cập nhật kinh nghiệm ôn thi, bài giảng hay cho các bạn sinh viên y.
TRẢI NGHIỆM ÔN THI BÁC SĨ NỘI TRÚ HMU
KINH NGHIỆM XƯƠNG MÁU HỌC GIẢI PHẪU
GIẤC MƠ NỘI TRÚ
KINH NGHIỆM CÀY NỘI TRÚ THÂU ĐÊM MÀ KHONG BỊ MỆT
32 KÊNH YOUTUBE HỌC TIẾNG ANH MIỄN PHÍ CHO SINH VIÊN Y
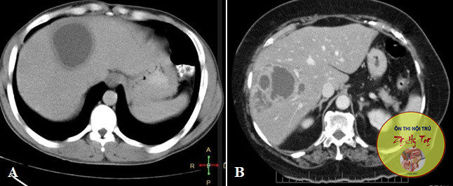
APXE GAN DO AMIP
TRĨ
TÁO BÓN
«
1
2
3
4
5
6
7
8
»
Khóa học mới
HỌC NỘI KHOA. BÀI XƠ GAN LUYỆN THI NỘI TRÚ Y HÀ NỘI
HỌC SINH LÝ. Học Thử Sinh Lý Online Qua Zoom Meeting
KHÓA HỌC GIẢI PHẪU ONLINE
HỌC HÓA SINH. Hóa Sinh Gan Ôn Thi Nội Trú
NỘI TRÚ. Tài liệu cần và đủ ôn thi nội trú hiệu quả
TIẾP CẬN BỆNH NHÂN NGẤT TRONG NỘI KHOA
HÓA SINH HỌC THỬ. Vấn đáp trực tuyến học sinh trong lớp
KHÓA HỌC DƯỢC LÝ ĐƠN THUỐC ONLINE CƠ BẢN
Messenger
Chat ngay
Chat hỗ trợ
Chat ngay
Chat Zalo
Chat Facebook
Hotline: 0355.295.625
Đóng
Đăng ký ngay!
Đăng ký tài khoản để nhận nhiều thông tin và tài liệu hơn!